Max Hospital, Patparganj, New Delhi
Elevate Health Solutions, Rajouri Garden, New Delhi
Max Hospital, Vaishali, Ghaziabad

20 Aug, 2020
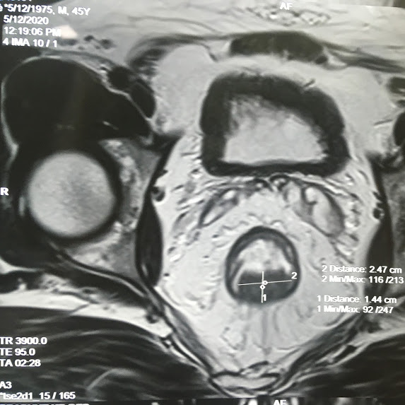
Covid Diaries: Successful laparoscopic removal of a distal rectal cancer in a patient. Laparoscopic surgery leads to faster recovery for the patient with less pain and good oncologic outcomes. with newer advances in mutlimodality treatmentand techniques ) (laparoscopy, stapling devices and expertise in intersphincteric resection) we are able to preserve sphincteric function in most patients with good oncologic and functional outcomes. We are continuing laparoscopic cancer surgery following all precautions in light of corona virus pandemic. Cancer treatment can't wait! online consultations also available.
